Od 1.11. 2025 máme STOP STAV na obě pobočky Pardubice/ Chrudim. O případné změně budeme informovat v novém roce. Děkujeme za pochopení.
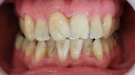
Čištění pomocí Air-flow, odstranění pigmentace
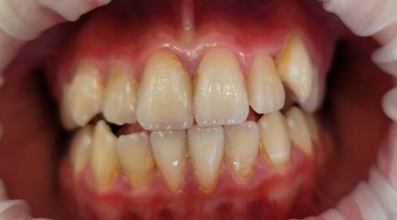
Čištění pomocí Air-flow Plus ,odstranění plaku
Domácí bělení zubů
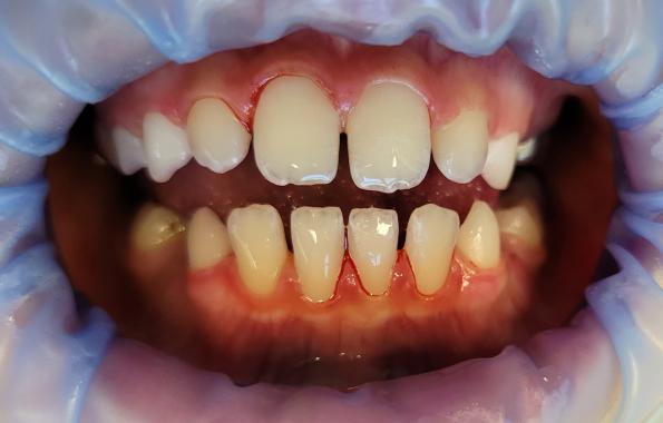
GBT protokol u dítěte - detekce plaku a odstranění metodou Airflow PLUS
Ale nebojte se, jsou bez cukru! Používáme je, abychom zlepšili váš zážitek na této stránce. Některé jsou nezbytné pro správnou funkčnost webu, jiné nám pomáhají získat přehled o tom, jak naši stránku používáte. Můžete si vybrat, které cookies povolíte, a nastavení kdykoliv změnit pomocí odkazu ve spodu stránky.